Kiểm tra răng miệng định kỳ bao lâu 1 lần? Lợi ích là gì?
Nhiều người đang thắc mắc về việc có nên kiểm tra răng miệng định kỳ hay không và tần suất thực hiện như thế nào. Theo khuyến cáo của bác sĩ nha khoa, việc kiểm tra răng định kỳ rất quan trọng. Vậy việc này mang lại những lợi ích gì? Cùng Hetyma tìm hiểu chi tiết trong bài viết sau đây.
Có nên kiểm tra răng miệng định kỳ không?
Thực tế, những vấn đề liên quan đến răng miệng nếu không được điều trị kịp thời có thể gây nguy hiểm cho sức khỏe. Kiểm tra răng định kỳ giúp phát hiện sớm các vấn đề để có biện pháp xử lý phù hợp. Dưới đây là một số vấn đề cần kiểm tra trong quá trình kiểm tra răng định kỳ:
- Kiểm tra xem răng có bị nứt, gãy, lung lay hoặc sâu hay không. Đối với những răng đã trám, cần xem xét xem các vết trám có bị vỡ hoặc hở không.
- Nướu: Kiểm tra tình trạng nướu, bao gồm viêm nướu, áp xe và túi nha chu.
- Khoang miệng: Khám các bộ phận khác trong khoang miệng như môi, lưỡi, má, họng,… để phát hiện dấu hiệu nhiễm trùng, virus hoặc hội chứng suy giảm miễn dịch có ảnh hưởng đến răng miệng hay không.

Kiểm tra răng định kỳ giúp phát hiện sớm các vấn đề để có biện pháp xử lý phù hợp
Tham khảo 18 cách làm trắng răng tại nhà an toàn, hiệu quả
Tần suất kiểm tra răng miệng định kỳ là bao lâu?
Cả trẻ em và người lớn nên đi kiểm tra răng miệng ít nhất mỗi 6 tháng. Những người có nguy cơ cao về bệnh răng miệng như người hút thuốc, phụ nữ mang thai hoặc bệnh nhân tiểu đường được khuyến cáo nên đi kiểm tra thường xuyên hơn. Những dấu hiệu răng miệng sau đây cần được khám ngay:
- Đau răng bất ngờ
- Răng hoặc hàm bị sưng đỏ, lưỡi chảy máu
- Nướu sưng
- Xuất hiện vết loét trong khoang miệng
Nếu gặp những dấu hiệu này, bạn nên đến cơ sở nha khoa để cải thiện tình trạng răng miệng của mình.
Ngoài ra, các bậc phụ huynh cũng cần chú ý đến trẻ nhỏ, nhất là những bé đang trong giai đoạn thay răng, bởi vì răng mới thay dễ bị lệch lạc, không đều và khấp khểnh. Việc khám răng định kỳ sẽ giúp hướng dẫn cách chăm sóc và cải thiện tình trạng răng miệng của trẻ, vì trong thời kỳ này, khung xương của trẻ chưa phát triển ổn định nên dễ dàng khắc phục hơn.

Nên kiểm tra răng miệng định kỳ mỗi 6 tháng
Lợi ích của việc khám răng định kỳ
Khám răng định kỳ sẽ giúp phát hiện sớm những vấn đề tiềm ẩn và đưa ra phương pháp điều trị phù hợp nhất. Dưới đây là một số bệnh có thể được phát hiện qua việc khám răng định kỳ:
Phòng ngừa ung thư miệng
Ung thư miệng tuy không phổ biến nhưng là căn bệnh nguy hiểm có thể đe dọa tính mạng nếu không được phát hiện và điều trị kịp thời. Các nghiên cứu cho thấy, nam giới có nguy cơ mắc bệnh cao hơn gấp đôi so với nữ giới, đặc biệt là những người trên 50 tuổi. Tuy nhiên, nếu phát hiện sớm, bệnh vẫn có thể chữa được, nhất là khi ở giai đoạn đầu.
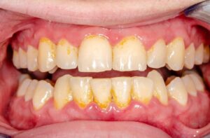
Loại bỏ mảng bám, cao răng và sâu răng
Dù chăm sóc răng miệng đúng cách bằng cách đánh răng hai lần một ngày và sử dụng nước súc miệng, mảng bám vẫn có thể tích tụ ở một số khu vực nhất định, đặc biệt là phía trong răng, nơi việc đánh răng gặp khó khăn hơn. Theo thời gian, mảng bám này trở nên khó loại bỏ và dần chuyển thành cao răng.
Khi cao răng tích tụ nhiều, răng có nguy cơ bị sâu. Do vậy, việc lấy cao răng định kỳ theo lời khuyên của nha sĩ là rất cần thiết, thường là mỗi 6 tháng là hợp lý nhất.
Ngoài ra, việc khám răng định kỳ còn giúp phát hiện kịp thời các ổ răng sâu. Việc trám răng sâu sớm, ngay sau khi phát hiện sẽ giúp bảo tồn răng thật, ngăn ngừa vết sâu lan rộng và gây nên các biến chứng khác.

Nên cạo vôi răng định kỳ 6 tháng/lần để bảo vệ sức khỏe răng miệng
Bệnh nướu răng
Bệnh nướu răng phát sinh từ mảng bám và vôi răng. Nó đi kèm với sự phân hủy của mô nướu và có thể dẫn đến tình trạng suy giảm xương giữ răng. Tình trạng tụt nướu hoặc mất răng hoàn toàn có thể xảy ra phổ biến trong giai đoạn này.
Khi xảy ra, bệnh nhân có thể gặp phải các triệu chứng như nướu bị sưng, chảy máu và nguy cơ mất răng. Do vậy, việc giữ vệ sinh răng miệng sạch sẽ, cùng với việc đến nha sĩ định kỳ để cạo vôi răng là rất cần thiết trong việc phòng ngừa và điều trị bệnh nướu răng.
Những lưu ý khi đi khám răng
Để khám răng định kỳ hiệu quả, bạn nên chú ý những điểm sau:
- Vệ sinh răng miệng kỹ càng trước khi gặp bác sĩ nha khoa bằng kem đánh răng có chứa Fluoride và chỉ nha khoa.
- Nên sử dụng nước súc miệng để làm sạch răng và loại bỏ mùi hôi.
- Trong khi khám, nha sĩ có thể yêu cầu chụp X-quang để đánh giá tình trạng răng. Tuy nhiên, tia X có thể gây ảnh hưởng xấu đến phụ nữ đang mang thai và thai nhi. Vì vậy, nếu bạn đang hoặc nghi ngờ mình mang thai, hãy thông báo cho nha sĩ.
- Hãy tìm đến các địa chỉ khám răng uy tín và đáng tin cậy để thực hiện kiểm tra răng miệng.
Qua những thông tin mà Hetyma chia sẻ trên, bạn chắc chắn đã nhận thấy được tầm quan trọng của việc kiểm tra răng miệng định kỳ. Khám răng định kỳ là cách giúp bạn và các thành viên trong gia đình chăm sóc sức khỏe răng miệng, từ đó gia tăng sự tự tin khi cười.






