Vôi răng là gì? Những tác hại tiềm ẩn và cách phòng ngừa
Vôi răng là nguyên nhân chính dẫn đến các vấn đề sức khỏe răng miệng. Tuy nhiên, nhiều người trong chúng ta thực sự không hiểu rõ vôi răng là gì, các cấp độ và tác hại của nó. Nếu bạn cũng đang tìm hiểu về vấn đề này, hãy cùng Hetyma khám phá chi tiết hơn qua bài viết sau.
Vôi răng là gì?
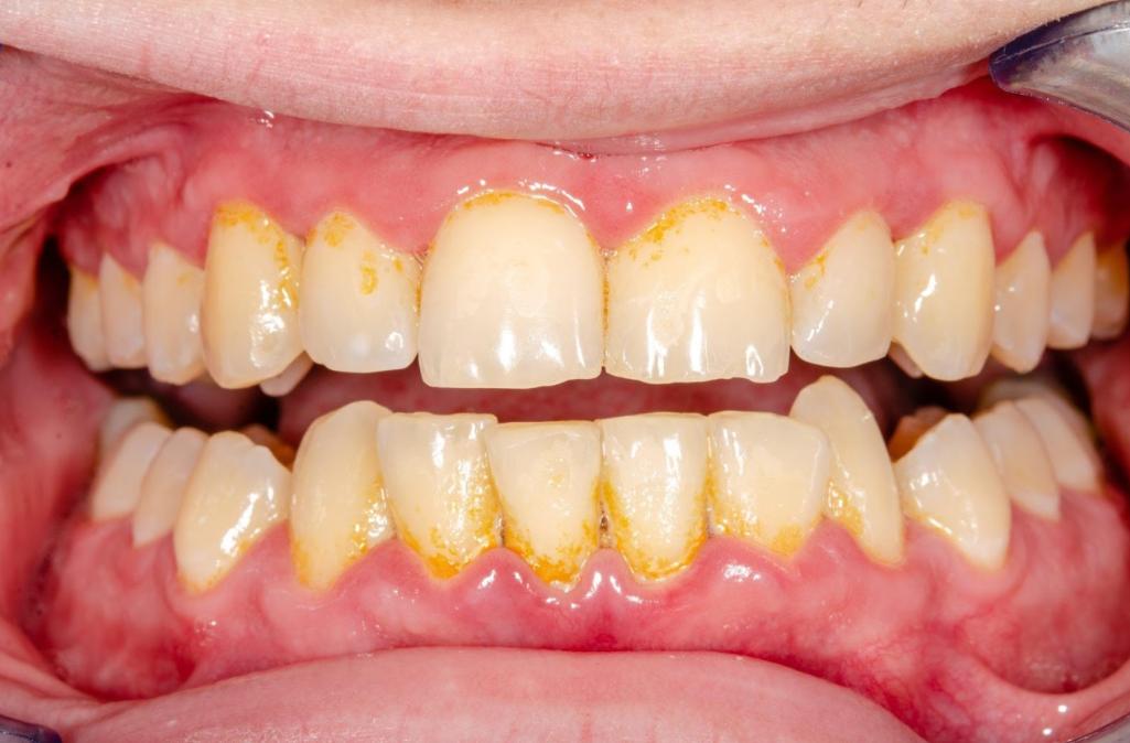
Vôi răng (còn gọi là cao răng) là tình trạng mảng bám bị vôi hóa bởi các hợp chất muối vô cơ có trong nước bọt. Chúng tích tụ và bám chặt ở cả bên dưới và bên trên đường viền nướu.
Ngay cả khi bạn chăm sóc răng miệng kỹ lưỡng, vi khuẩn vẫn luôn hiện diện trong khoang miệng. Vi khuẩn kết hợp với protein và thức ăn thừa chưa được làm sạch sẽ tạo thành một lớp màng dính gọi là mảng bám. Theo thời gian, lớp mảng bám này sẽ trở nên cứng lại và hình thành vôi răng.

Vôi răng là các mảng bám ở viền nướu
Xem thêm: Kiểm tra răng miệng định kỳ bao lâu 1 lần? Lợi ích là gì?
Có những loại vôi răng nào?
Vôi răng được phân loại thành 2 dạng chính:
Vôi răng thường
Vôi răng thông thường thường có màu trắng đục hoặc hơi vàng, chủ yếu xuất hiện ở vùng cổ răng. Đối với những người có thói quen hút thuốc, mảng bám có thể có màu sẫm hơn.
Vôi răng huyết thanh
Vôi răng huyết thanh thường có màu đỏ nâu hoặc nâu đen và thường hình thành dưới đường viền nướu. Đây là môi trường thuận lợi cho vi khuẩn phát triển mạnh, là nguyên nhân phổ biến gây ra các bệnh lý răng miệng như viêm nướu, đồng thời đẩy nhanh quá trình nhiễm trùng chân răng.

Vôi răng huyết thanh thường có màu đỏ nâu hoặc nâu sậm
Các mức độ của vôi răng
Thông thường, vôi răng được phân chia thành 4 cấp độ:
- Cấp độ 1: Đây là giai đoạn ban đầu khi các mảng bám mới bắt đầu hình thành trên răng. Lớp mảng bám này có màu nhạt và rất mỏng, chỉ tạo ra một chút ánh trắng nhẹ khi nhìn ở khu vực đường viền nướu. Ở cấp độ này, việc đánh răng hàng ngày có thể loại bỏ phần nào mảng bám nhưng không thể làm sạch hoàn toàn.
- Cấp độ 2: Ở cấp độ này, mảng bám thức ăn vẫn có màu sắc khá nhạt nhưng đã trở nên cứng và dày hơn đáng kể so với cấp độ 1. Mảng bám ở giai đoạn này đã bám chặt vào chân răng và chỉ có thể được loại bỏ bằng các dụng cụ cạo vôi răng chuyên dụng.
- Cấp độ 3: Vôi răng ở cấp độ 3 đã chuyển sang màu vàng đậm, do đó rất dễ nhận biết. Chúng có độ dày và độ cứng cao, thường xuất hiện ở mặt trong của răng và rất khó để loại bỏ. Trong một số ít trường hợp, mảng bám cũng có thể hình thành và bám ở mặt ngoài của răng.
- Cấp độ 4: Đây là giai đoạn nghiêm trọng nhất, khi đó các mảng bám thường có màu sẫm, thậm chí là đen. Chúng bắt đầu ăn mòn chân răng, lan xuống xương hàm và tiềm ẩn nhiều nguy cơ đáng kể đối với sức khỏe răng miệng.
Tham khảo 18 cách làm trắng răng tại nhà an toàn, hiệu quả
Tác hại của vôi răng
Nếu không được xử lý kịp thời, vôi răng có thể dẫn đến những vấn đề sức khỏe răng miệng nghiêm trọng. Hãy lưu ý những dấu hiệu cảnh báo sau:
- Viêm nướu: Vôi răng tạo điều kiện cho vi khuẩn phát triển, gây viêm nướu. Nếu không can thiệp sớm, tình trạng viêm có thể lan rộng sang các mô và cấu trúc xung quanh răng, gây tổn thương nặng nề.

Vôi răng dễ gây viêm nướu
- Sâu răng: Khi vôi răng không được loại bỏ, bề mặt răng sẽ bị ăn mòn và hình thành các lỗ hổng. Điều này tạo môi trường thuận lợi cho vi khuẩn và mảng bám thức ăn tích tụ, dẫn đến sâu răng.
- Viêm lợi: Vôi răng khiến mảng bám thức ăn đọng lại dưới nướu, gây viêm lợi. Nếu không điều trị kịp thời, viêm lợi có thể lan đến xương hàm và gây tổn thương nghiêm trọng.
- Gây mùi hôi khó chịu: Các mảng bám vôi hóa bám chặt trên răng gây khó khăn cho việc vệ sinh, dẫn đến hơi thở có mùi.
- Mất thẩm mỹ: Ngoài việc ảnh hưởng đến sức khỏe răng nướu, vôi răng còn tác động trực tiếp đến thẩm mỹ. Do cấu trúc xốp, vôi răng dễ dàng hấp thụ màu từ thực phẩm và đồ uống.

Vôi răng làm mất tính thẩm mỹ, thiếu tự tin khi giao tiếp
Cách ngăn ngừa bị vôi răng
Để ngăn ngừa vôi răng, bạn cần chú trọng đến chế độ ăn uống và cách vệ sinh răng miệng hàng ngày. Dưới đây là những phương pháp đơn giản giúp giảm thiểu nguy cơ hình thành vôi răng:
Thay đổi thói quen ăn uống
Chế độ ăn uống không lành mạnh là một trong những nguyên nhân chính gây ra vôi răng. Do đó, việc điều chỉnh thói quen ăn uống là cách hiệu quả nhất để phòng ngừa vôi răng. Hãy áp dụng những lời khuyên sau:
- Hạn chế đồ uống có ga: Đồ uống có ga chứa nhiều đường và axit, thúc đẩy sự phát triển của vi khuẩn và mảng bám thức ăn.
- Tránh thức uống có màu đậm: Các loại đồ uống như cà phê, trà, rượu có màu đậm có thể làm xỉn màu răng và dễ bị vôi hóa hơn.
- Uống nước sau khi ăn uống: Nước có tính kiềm giúp cân bằng độ pH trong khoang miệng, giảm thiểu nguy cơ hình thành vôi răng.
- Bổ sung nhiều rau xanh và trái cây: Rau xanh và trái cây cung cấp vitamin và khoáng chất thiết yếu, hỗ trợ duy trì sức khỏe răng miệng.

Thay đổi chế độ ăn uống phù hợp góp phần ngăn ngừa vôi răng
Chăm sóc răng miệng đúng cách
Việc vệ sinh răng miệng đúng cách đóng vai trò quan trọng trong việc phòng ngừa vôi răng. Để chăm sóc răng miệng tốt, bạn nên tuân thủ những lời khuyên sau:
- Chải răng đúng cách: Hãy chải răng ít nhất 2 lần mỗi ngày, mỗi lần kéo dài ít nhất 2 phút. Nên dùng bàn chải có đầu nhỏ và lông mềm để làm sạch kỹ các kẽ răng.
- Sử dụng chỉ nha khoa: Chỉ nha khoa giúp loại bỏ hiệu quả mảng bám thức ăn và vi khuẩn tích tụ trên bề mặt răng cũng như dưới đường viền nướu.
- Súc miệng sau khi ăn uống: Súc miệng bằng nước muối hoặc dung dịch có chứa chlorhexidine sẽ giúp giảm thiểu vi khuẩn và mảng bám thức ăn trong khoang miệng.

Chăm sóc răng miệng đúng cách giúp bảo vệ răng khỏi các vi khuẩn
Phương pháp làm sạch vôi răng
Khi đã bị vôi răng, bạn cần được điều trị kịp thời để tránh những biến chứng nghiêm trọng. Dưới đây là các phương pháp điều trị vôi răng phổ biến:
Điều trị tại nhà
Với các trường hợp vôi răng nhẹ, bạn có thể tự điều trị tại nhà bằng cách sử dụng các sản phẩm chuyên dụng như kem đánh răng có chứa fluoride hoặc gel làm sạch vôi răng.
Bạn cũng có thể dùng chỉ nha khoa để loại bỏ mảng bám thức ăn và vi khuẩn tích tụ trên bề mặt răng.
Điều trị tại phòng khám nha khoa
Nếu tình trạng vôi răng đã trở nên nghiêm trọng, bạn cần đến phòng khám nha khoa để được điều trị. Các phương pháp điều trị tại đây bao gồm:
- Cạo vôi răng: Nha sĩ sẽ sử dụng các dụng cụ chuyên dụng để loại bỏ lớp vôi dày bám trên bề mặt răng.
- Điều trị sâu răng: Nếu vôi răng đã dẫn đến sâu răng, nha sĩ sẽ tiến hành điều trị sâu răng bằng cách làm sạch và trám các lỗ hổng trên bề mặt răng.
- Điều trị viêm nướu: Nếu vôi răng gây ra viêm nướu, nha sĩ sẽ tiến hành điều trị bằng cách làm sạch và loại bỏ mảng bám thức ăn tích tụ dưới nướu.
- Điều trị viêm lợi: Nếu vôi răng gây ra viêm lợi, nha sĩ sẽ tiến hành điều trị bằng cách làm sạch và loại bỏ mảng bám thức ăn tích tụ dưới nướu.

Phương pháp cạo vôi răng tại nha khoa uy tín giúp loại bỏ vôi răng hiệu quả, an toàn
Qua bài viết, bạn đã hiểu rõ vôi răng là gì và những tác hại tiềm ẩn đối với sức khỏe răng miệng. Khi vôi răng đã hình thành, chỉ các nha khoa với thiết bị chuyên dụng mới có thể loại bỏ an toàn. Vì vậy, hãy duy trì thói quen thăm khám định kỳ 6 tháng/lần kết hợp vệ sinh răng miệng đúng cách mỗi ngày để ngăn ngừa vôi răng và bảo vệ nụ cười khỏe mạnh lâu dài.






